忍者ブログ
44歳でベンチプレスの大会に初出場しました。                                                                                                        公式の自己ベストは66㌔級で137.5㌔です。  止めなし145㌔です。                                                                                  地上最強の中年ベンチプレス王に 俺はなる! v^^v 夢は夢にに非ず 諦めない限りは 勝利の女神はこっちを向いてるぜ (^o^)丿                                                                             人生の目標は、100歳で公式記録100㌔! 健身気功で達成する

2026-03

アーカイブ
最古記事
(07/30)
体重(昨晩) 69.1㌔
体重(今朝) 67.8㌔ 
就寝       10:35
起床        7:10
痛み      人差し指の痺れ 
疲労      病院疲れ
闘気      ある


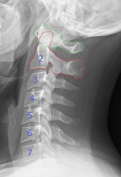
※私のレントゲンじゃありません

    
今日の目的
病院で検査
 
サプリメント
BCAA&グルタミン 
 忘れた

ビタミン
B・C

血圧
 7:30
129-100-71

10:01
141-103-68

 19:39
128-86-78
 
う~~む
なんとも言えない

雑感
午前中は病院
午後から仕事をしたが
ビタミン不足で瞼が痛い

しびれ
先生がレントゲンを診ると
「ああ、ここトゲになっている」
と一目瞭然との説明

よく解らなかったので、詳しく教えてもらうと
頸椎の5番と6番の形が台形になっておらず
変形しているとレントゲン写真を指して教えてくれた

それでもよく見えないので、顔を写真に近づけて
再度、説明を受けたところ、確かに形が違うことは判った

そこで先生が「顔を上に向けて首を左横に倒してみて」
と言われ「痺れますか?」とのこと

(・・・あ~痺れるわ)
「痺れてきました」と応えると
「今度は、右横に・・・」との指示
これも痺れる旨、応えると
「5番、6番だから親指、人差し指、中指・・・」
とのことらしい

私が「変形しているのなら、もう治らないんですか?」
と尋ねると「絶対治らないこともない」との回答

発症当初より、良くなっていることもあり
薬ももらわず「痛みが酷くなったら、また来る」ことにした

フォームの改善
おそらくブリッジを組む時のフォームが原因だと思う
ブリッジを組みつつ頸椎の負担を減らすフォームを探っていこう

首根っこ1点ではなく、両肩2点でまたは肩甲骨に
上半身の重心をシートに伝えるようにすれば
頸椎への負担は減らすことが出来る

握りの見直し
いつも見直しをしているが、今回はより下半身側に
つまり手の平の下の方にバーを構えて
より上半身側の負担を減らせるよう工夫したい

いろいろ試してみよう
(^o^)丿
PR
この記事にコメントする
お名前:
タイトル:
文字色:
メールアドレス:
URL:
コメント:
パスワード:   Vodafone絵文字 i-mode絵文字 Ezweb絵文字
無題
こんばんは

痺れは、悪化はしてないんですね
それは良かった
私もヘルニアか治って社会復帰しましたが
痺れと痛みは10年は続きました
長期戦になるかもです
痛みと上手く付き合うつもりで
頑張ってください
mason 2013/11/25(Mon)22:16:48 編集
長期戦
mason先輩
こんばんは!

>痺れは、悪化はしてないんですね
お蔭様で、このまま静かにしていれば、悪化はしないようです

>痺れと痛みは10年は続きました
うわぁ
10年間もだったんですか・・・
すれは辛かったですねぇ・・・

>痛みと上手く付き合うつもりで
>頑張ってください
はい
有難うございます

長期戦を覚悟で付き合います

まずはフォームの検討から始めたいと思います
p(^-^)q押忍
とかお 2013/11/26(Tue)22:16:05 編集
カウンター
プロフィール
HN:
十勝の男(とかお)
年齢:
64
性別:
男性
誕生日:
1961/04/13
職業:
無職
趣味:
超人追求 健身気功
自己紹介:
元空手家

ゴッドハンド大山倍達先生からいただいたトレーナーを
知らないうちに妻が雑巾にしていたという
・・・・・辛い過去の持ち主(T_T)

2006年11月19日
第5回ジャパンオープンマスタ-ズベンチプレス大会
75㌔級   5位

2009年3月1日
第7回ジャパンオープンマスタ-ズベンチプレス大会
67.5㌔級 優勝

2010年2月28日
第8回ジャパンオープンマスタ-ズベンチプレス大会
67.5㌔級 4位

2013年5月26日
第23回全日本実業団ベンチプレス大会
66㌔級 マスターズⅡ 優勝

2015年2月21日
第15回ジャパンクラシックベンチプレス選手権大会
66㌔級 マスターズⅡ 3位

2024年1月20日
第25回ジャパンクラシックベンチプレス選手権大会
66㌔級 マスターズⅢ 2位

2024年5月22日
世界ベンチプレス選手権大会
66㌔級 マスターズⅢ 1位


特技:房中術   
バーコード
ブログ内検索
アクセス解析
忍者ブログ [PR]
by 桜花素材サイト様. . .